Как и где лечить кариес у малыша?

Evalyn

New member
Здравствуйте, Наталья Вячеславовна!
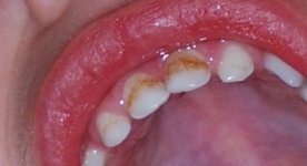
Моему сынишке 1 год и 4 месяца. Мы на ГВ. Где-то два месяца назад стала замечать у сына желтовато-коричневый налет вдоль десны на верхних четырех зубах. С тех пор стали чистить зубы с пастой РОКС, используем гель Рокс. А один резец месяц назад начал крошится, я заметила, что там около десны откололась эмаль. Консультировались у нескольких стоматологов (мы из Гродно), решили лечить зубы в Минске в Медэксперте под общим наркозом. На нижнем жевательном зубике тоже кариес(((. Сдали анализы, сделали ЭКГ. Оказалось, что у нас плохая кардиограмма и шум в сердце, назначили узи сердца. Кардиолог не дал разрешение на наркоз. Как же нам поступить? Лечить все равно надо. Может попробовать лечить по одному зубику без наркоза? Насколько это реально в нашем возрасте? Подскажите что нам делать. Вот фото наших зубиков
 

Шаковец

New member
Evalyn, у вашего сына ранний детский кариес. Причина - поздно начали чистить зубы+ночное кормление. Посмотрите мое сообщение "Профилактика раннего детского кариеса" и выполняйте все мероприятия. Пасту обязательно поменяйте. Лечить здесь нужно все и сразу - после удаления размягченных тканей экскаватором закрыть кариозные полости стеклоиономерным цементом и обязательно запечатать верхние четвертые зубы, потому что они на очереди на разрушение. Такое лечение длится 10-15 минут. Дискомфорт у ребенка вызывает не лечение, а тот факт, что его фиксируют.
 

Evalyn

New member
Большое спасибо за оперативный ответ!
Подскажите, оправдано ли лечение под общим наркозом в нашем случае (даст Бог с сердечком все будет хорошо, во вторник идем на узи)? Или стоит попробовать лечить без наркоза? Нам нужно лечить четыре верхних и один нижний жевательный - там есть дырочка. Плюс хочу сделать герметизацию фиссур на четырех жевательных зубах. Наталья Вячеславовна, исходя из вашего опыта, насколько реально провести такое лечение в таком возрасте без наркоза? Боюсь, что не смогу удержать его в кресле 15 минут, да и рот он не откроет (хотя наверное при лечении в рот малыша что-то вставляют, чтоб он его не закрывал, я в этом деле полный профан).
По поводу профилактики кариеса. После каждого приема пищи очищаю зубки малыша ваткой, смоченной в 0,05% р-ре хлоргексидина. Правильно ли я делаю? И еще, насколько эффективны дентальные салфетки? Хочу заказать их из РФ. Соки мы не пьем вообще, а вот ГВ по ночам - это да. Будем пытаться что-то менять. Иначе потеряем зубки((((
Мы из другого города (Гродно), но хотели бы попробовать полечить у вас зубки. Возможно ли это? Нас устроит любой день, приедем в Минск.

Еще вопрос, какую пасту вы нам порекомендуете? Лакалют? Сплат? Силка? Их так много, что глаза разбегаются.
 
Последнее редактирование:

Шаковец

New member
Evalyn, конечно, можете приехать на прием. По вторникам у меня вторая смена, а средам и пятницам - первая. Пасты лучше Elmex, Lacalut kids, ROCS 4-7, Splat junior.
 

Evalyn

New member
Наталья Вячеславовна, здравствуйте! Хотим приехать к вам на прием на следующей неделе, попробуем полечить без наркоза, а то зубки разрушаются с молниеносной скоростью((((. Нас устроит любой день, время желательно до 12 или после 4 (мы спим в это время). Подскажите куда именно ехать и в какой кабинет. Очень буду ждать вашего ответа. Заранее спасибо!
 

Шаковец

New member
Evalyn, подготовьте ребенку какой-нибудь подарок (что ему особенно нравится), чтобы я в конце приема могла ему подарить.
 

Evalyn

New member
обязательно что-нибудь придумаю! Я его уже недели две настраиваю, что нам предстоит зубки лечить у доброй тети доктора) Так он теперь всем врачам зубки показывает)))). Буду надеятся, что лечение пройдет успешно и он не будут сильно истерить. (я нашла еще один зубик с кариесом, итого 4 верхних + 2 жевательных)
 

mamusik

New member
А можно ли исправить уже начавшийся кариес на единичках.Задние лечили под седацией,передние разрушаются молниеносно.Серебрили,но не помогло.Жалко,девочке только 2.8.Спасибо!
 

Шаковец

New member
mamusik, можно. Об этом я писала в рубрике "Профилактика раннего детского кариеса".
 

fidanzata

New member
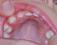
Здравствуйте! Скажите можем ли мы к вам попасть на прием, ребенку 2,1 года,просто мы живем за городом, сможете ли вы нас принять. Вот что с нашими зубками.Верхние очень меня беспокоют, на нижних есть черные точки на 2-3 зубах. Подскажите что делать!!!!!!
 

Вложения

  • DSC_6774.JPG
    DSC_6774.JPG
    126.1 KB · Просмотры: 94
  • DSC_6790.JPG
    DSC_6790.JPG
    65.1 KB · Просмотры: 107
  • DSC_6788.JPG
    DSC_6788.JPG
    57.5 KB · Просмотры: 95
  • DSC_6786.JPG
    DSC_6786.JPG
    62.2 KB · Просмотры: 88
Последнее редактирование:

Шаковец

New member
fidanzata, принять смогу, только заведите карточку в регистратуре или возьмите направление на консультацию в вашей поликлинике. Можно подъехать 18.04 с 14 до 17 или 20.04 с 9 до 12.30 в каб. 55. И не забудьте про подарок для ребенка.

Evalyn, как дела после лечения?
 

fidanzata

New member
Нам только завести у вас карточку и вы нас примете? спасибо! Будем 20 числа. С 9.00 до 12.30.
 

fidanzata

New member
нам просто надо завести карточку и вы нас примите, так? Тогда мы к вам 20 числа с 9.00 до 12.30.Спасибо!!!!!
 

fidanzata

New member
Нам только завести у вас карточку и вы нас примете? спасибо! Будем 20 числа. С 9.00 до 12.30.

Нам только завести и у вас карточку и мы к вам попадем? Так? Спасибо!Будем 20 числа к 11.00
 
Последнее редактирование:

fidanzata

New member
Нам только завести у вас карточку и вы нас примете? спасибо! Будем 20 числа. С 9.00 до 12.30.

Нам только завести и у вас карточку и мы к вам попадем? Так? Спасибо!Будем 20 числа к 11.00
 
Последнее редактирование:

fidanzata

New member
нам просто надо завести карточку у вас и вы нас примите, так? Тогда мы к вам 20 числа с 9.00 до 12.30.Спасибо!!!!!

к 11.00 20 числа будем у вас, спасибо!
 

Evalyn

New member
Наталья Вячеславовна, огромное спасибо Вам за прием и за лечение наших зубиков (надеюсь, малыш не очень сильно Вас укусил:blush1:). Отдельное спасибо вашим студентам за помощь. И все-таки осталось пару вопросов, которые я забыла уточнить.
1. Стоит ли нам принимать фтор в таблетках? Или достаточно пасты со фтором 500pm?
2.Мне советовали давать малышу кунжутное масло из-за высокого содержания в нем кальция. Надо ли?
3. На приеме Вы запломбировали нам 4 верхних зубика с внешней стороны и загерметизировали фиссуры в двух верхних жевательных. Через месяц опять к Вам на прием (если до этого времени пломбочки не выпадут). Я так понимаю, что через месяц необходимо покрытие зубов фторлаком?
Прошу прощения за такое количество вопросов, но сразу забыла спросить.
 

Evalyn

New member
Наталья Вячеславовна, здравствуйте!
Можно ли нам 20 мая на прием попасть с 10 до 13?
Будем ждать вашего ответа.
 
Сверху