Брекеты - 4

Wischenka

New member
Наташа, класс, очень красиво! Я никаких изъянов не замечаю. Тебе улыбка очень идёт!

EVGESHA, такой яркой девушке улыбка очень подходит!

Девочки, как всё таки красиво без брекетов!
 

Darya_

New member
Silva79, EVGESHA, девчата, Вам респект! Улыбки вам очень идут :) Улыбайтесь-улыбайтесь и еще раз улыбайтесь!!!!!!
Новеньким привет и удачного лечения )
 

Silva79

Счастлива!!
Девчата, на днях видела на проспекте нашего старого знакомого bademaistera. Причем сначала обратила внимание на девушку, что была с ним (честно говоря, она вообще никакая, сама обычная, хоть тут он нам расписывал, как должны выглядеть идеальные девушки, а потом уже и его узнала по скалозубой улыбке в брекетах). Так вот наш мачо растолстел, ходит вперевалку и весь его выпендреж на форуме и оскорбления в наш адрес – от низкой самооценки либо кто-то его очень сильно обидел из дам. По крайней мере, я бы на него, как на мужчину, внимания совсем не обратила.
 

_Татьянка_

New member
Silva79, я думаю никто в этом не сомневался, настолько его выЁ было наигранным, обычный закоплексованный мальчишка

Silva79, и да, улыбка у тебя красота =))))))) мне оч нравится, не сравнить конечно с ДО, даж не верится что так бывает))))) мои авации:clapping::clapping::clapping:
 

Silva79

Счастлива!!
Была сегодня на коррекции № 2, мне сделали из скруглённых двоек прямоугольные. За неделю зубы немного устаканились, чуть повернулись и раздвинулись (в моем случае это норм), так что коррекция оказалась как нельзя кстати. В результате 2-ки получились чуть расширенными и трапецевидной формы (нужно привыкнуть, но мне больше нравится этот вариант), зато нет никаких промежуток. Сейчас цвет должен придти в норму за пару дней и через неделю у меня, надеюсь, последний осмотр и окончательные фото.
Малышева говорила, что с ретейнерами, конечно, наведение марафета усложняется, но если ретейнеры не поставить сразу (!!) после снятия брекетов, а даже через несколько часов, то неизвестно, что может быть с зубами.
 

Инна_2012

Well-known member
Что-то у меня разболелись верхние зубки. Давно такого не было. И коррекция давно было... Тешу себя мыслью, что раз болят, значит двигаются...

И еще раз всем спасибо за теплый прием!!!
 
Что-то у меня разболелись верхние зубки. Давно такого не было. И коррекция давно было... Тешу себя мыслью, что раз болят, значит двигаются...
100% двигаются! Это приятная боль - по себе знаю )

Была сегодня на коррекции № 2, мне сделали из скруглённых двоек прямоугольные
Все некогда было написать... Наташ, честное слово, на мой взгляд, уже все просто идеально! Что ты там еще корректируешь?! Улыбка тебе очень идет, очень красиво стало, я даже не думала, что будет так здорово! Теперь улыбка твой самый главный козырь, но далеко не единственный!
 

eviza

Всё СБЫВАЕТСЯ
не знаю, как вас, а меня часто мучает сон, будто выпадают зубы и держаться они только на дуге. Сегодня во сне мне ещё и прибавилась реплика - ну как же так. Они же уже ровные, совсем мало до снятия )))))))))))))))))))))))))))))))) Проснулась в холодном поту, перещупала зубы ))) Я одна такая впечатлительная?
 

Len@

New member
eviza, я думала мне только такие сны снятся)))
только мои сны с репликой моей мамы-я же говорила зубы расшатаются и выпадут))))
 

Wischenka

New member
Была сегодня на коррекции № 2...
В результате 2-ки получились чуть расширенными и трапецевидной формы (нужно привыкнуть, но мне больше нравится этот вариант), зато нет никаких промежуток.
Молодец, что добиваешься того, что тебе нравиться!


Я вот в среду наконец–то добралась до Проф–та (послушалась ваших советов не ждать 10 числа, пошла без записи) по поводу своей 6– ки, которая вышла из ряда. ЮЛ сказала, что ничего страшного нет, просто 6– ка сверху пока не стала в контакт с 6– кой снизу. Я спросила про капу, ЮЛ всё– таки настаивает нам том, чтобы дать возможность зубам самим правильно встать. Назначила прийти в декабре, там и будем смотреть.


Мне тоже снилось, что зубы выпадали, а ещё и становились кривыми даже в брекетах. После снятия меня какое–то время по утрам мучала мысль, что я забыла надеть с вечера эластики:(
 

Silva79

Счастлива!!
ЮЛ сказала, что ничего страшного нет, просто 6– ка сверху пока не стала в контакт с 6– кой снизу. Я спросила про капу, ЮЛ всё– таки настаивает нам том, чтобы дать возможность зубам самим правильно встать.
Умница, что нас послушала, Таня.
А то, что зубы должны устаканиться-привыкнуть друг к другу, мне кажется, это верно. Я вот рада, что снимали БС и лоск наводим с перерывами между визитами в неделю, т.к. за это время они разворачиваются-переворачиваются, принимают удобное для себя положение, знакомятся друг с другом обновлёнными. На 1-й коррекции мои щели вроде заделали, за неделю зубы подвигались, щели снова появились, пришлось снова заделывать. А что будет к следующей коррекции, я тоже не знаю. Спецам из Профидента я доверяю. Буду ходить, сколько нужно. Не зря ж гарантию дают год.
Главное - не ждать только, когда врач будет свободен по записи, а при малейших сомнениях идти к нему по живой очереди. Представь, сколько б у тебя нервов перегорело до 10.10 и сколько фантазий и сомнений пронеслось в твоей голове.
 

Wischenka

New member
Наташа, а тебе заделывали щели, наращивали за отдельную плату?
 

Silva79

Счастлива!!
Wischenka, я заплатила только 1-й раз как за пломбы на 4 передних зубах на внешней части (покрыли зубы пломбировочным материалом ПОЛНОСТЬЮ) около 1 000 000. А потом все остальное уже считается коррекцией, выполняется бесплатно.
 

EVGESHA

New member
не знаю, как вас, а меня часто мучает сон, будто выпадают зубы и держаться они только на дуге. Сегодня во сне мне ещё и прибавилась реплика - ну как же так. Они же уже ровные, совсем мало до снятия )))))))))))))))))))))))))))))))) Проснулась в холодном поту, перещупала зубы ))) Я одна такая впечатлительная?

...и мне такие сны снились....И вот сегодня опять!!! :shok:и так реалестичен! что минут 5 отходила....не могла понять - наяву это или во сне!!!
Мне сняли временные коронки, сча хожу с ужасом во рту...:crazy: в понедельник ставят мой окончательный Голливуд....Что самое интересное, через пару часов после снятия коронок мои единички начали опять "расползаться" и появилась маленкая щель между ними! Пипец!!! только дали им свободу, а они стремяться обратно в свое первоначальное положение...Но у меня остались эластики от брекетушек, я их "словила" резиночкой...

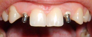
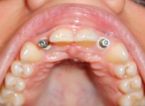
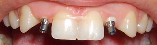
Для тех, кому интересно, как выглядят "в натуре" имплантат Biotech Smilea (Франция) с циркониевой шейкой, выставляю фото(слабонервным не смотреть:prankster:)......хоть это уже и не по темке "Брекеты"
 

Вложения

  • S5001791.JPG
    S5001791.JPG
    362.5 KB · Просмотры: 76
  • S5001792.JPG
    S5001792.JPG
    150.3 KB · Просмотры: 83
  • S5001793.JPG
    S5001793.JPG
    94.3 KB · Просмотры: 66
EVGESHA,а установка абатмента безболезненна? И что там у тебя вокруг него сверху костная ткань? Мне через 2 недели тоже будут абатмент вкручивать, вот любопытно! А когда зубы смыкаются, ты ими нижние не цепляешь?
 

EVGESHA

New member
EVGESHA,а установка абатмента безболезненна? И что там у тебя вокруг него сверху костная ткань? Мне через 2 недели тоже будут абатмент вкручивать, вот любопытно! А когда зубы смыкаются, ты ими нижние не цепляешь?

2-й этап - делается одновременно с установкой импланта

а беленькое - это и есть циркониевая шейка...в этом и есть отличие импланта Biotech Smilea (Франция) с циркониевой шейкой...в последующем она помогает избежать эффекта "синей десны"..Коронки тоже будут безметалловые на основе циркония, которые помогают добиться более высокой эстетики, все-таки ж передние зубки......
При смыкании не цепляю.....т.к. на на эти штучки должны ж еще поместиться коронки...
 

Silva79

Счастлива!!
EVGESHA, ой-ой-ой! Но это уже последний рывок перед красотой навеки!

Что я вам, девчонки, расскажу. Познакомилась в одноклассниках с одним мужчиной. На фотках ничего такой, правда внешне типаж не мой (мне спортивные ребята нравятся без мамонов и зеркальной болезни, а он пухленький, ну ладно, мне же с ним детей не крестить), зато в общении оказался очень интересный человек. А ему ну так моя улыбка понравилась, ну так понравилась (а мне это сейчас как бальзам на душу, сами понимаете)… Предложил пересечься на кофе.
Пересекаемся, начинаем говорить в реале и ТУТ Я ПРИХОЖУ В ДИКИЙ УЖАС ОТ СОСТОЯНИЯ ЕГО ЗУБОВ… Сказать, что они не ухожены – не сказать ничего. Сколы, камни, щели, грязно-желтый цвет, отсутствие некоторых зубов (как оказалось, собирается протезироваться). Я не выдержала и под конец нашей встречи тактично сказала ему всё, что думаю о состоянии его ротовой полости, спрашиваю: «Как ты дожил до 37 лет и довел свои зубы до такого состояния????» При этом у человека должность, поездки за границу, общение с большим количеством людей и т.д. По человеческим качествам он просто «мужчина-мечта», действительно хороший и достойный представитель сильного пола, но вот ЗУБЫ ПЕРЕЧЕРКНУЛИ ВСЁ. Воспринимать его более, чем приятеля я не смогла, хотя ему хотелось большего.
В общем, к чему я все это пишу? Чтоб лишний раз сказать всем нам: какие мы умнички-красавицы, что занимаемся своими зубами и улыбкой. Хорошие человеческие качества и внутренняя красота – это конечно, хорошо, но даже и они не помогут при такой вот картине во рту.:crazy::crazy::crazy:
 
Сверху